Repetitive pregnancy loss or “habitual abortion” in medical literature, is a condition in which there are at least two consequent spontaneous miscarriages during the first 3 months of pregnancy.Approximately, 2%… Continue Reading Repetitive pregnancy loss
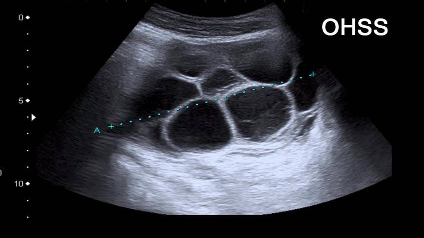
(OHSS, Extensive (hyper) stimulation of the ovaries) OHSS is a condition which may happen during IVF (In vitro fertilization) or intrauterine insemination (iui) treatment when the ovaries over react to… Continue Reading Ovarian Hyperstimulation Syndrome (OHSS)
Vaginismus can be treated totally today. Moreover, the treatment takes only a few days not months or years as it used to be. Vagina is the female sexual organ. Vaginismus… Continue Reading Vaginismus Treatment
Sexual Anorexia Classification of Women’s Sexual Dysfunctions (according to DSM-IV diagnosis criteria) Sexual desire is the urge in men and women to have intercourse his/her sexual partner. Sexual desire is… Continue Reading Sexual Anorexia Treatment
Labiaplasty Today, women pay attention to their outer look and beauty in all aspects; they do not refrain from surgical procedures which may help them feel more comfortable and content.… Continue Reading Labiaplasty Operation and Costs
Ovarian Cysts What is a cyst? In brief cyst is the general name given to tiny sacs filled with fluid. They are separated from the tissue they form on by… Continue Reading Ovarian Cysts and Treatments
We suggest that you should contact us 2 months before the date you want the therapy. The steps that will be applied on Sperm Donation Therapy are performed respectively as… Continue Reading Sperm Donation Therapy
To provide the best experiences, we use technologies like cookies to store and/or access device information. Consenting to these technologies will allow us to process data such as browsing behavior or unique IDs on this site. Not consenting or withdrawing consent, may adversely affect certain features and functions.
Functional
Always active
The technical storage or access is strictly necessary for the legitimate purpose of enabling the use of a specific service explicitly requested by the subscriber or user, or for the sole purpose of carrying out the transmission of a communication over an electronic communications network.
Preferences
The technical storage or access is necessary for the legitimate purpose of storing preferences that are not requested by the subscriber or user.
Statistics
The technical storage or access that is used exclusively for statistical purposes.The technical storage or access that is used exclusively for anonymous statistical purposes. Without a subpoena, voluntary compliance on the part of your Internet Service Provider, or additional records from a third party, information stored or retrieved for this purpose alone cannot usually be used to identify you.
Marketing
The technical storage or access is required to create user profiles to send advertising, or to track the user on a website or across several websites for similar marketing purposes.